Patient Info

Understand your hip health. Explore comprehensive information on conditions, procedures, and what to expect on your path to recovery.

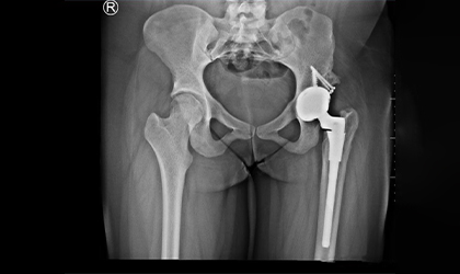
Patient Background

26-year-old woman diagnosed with hip dysplasia characterized by a shallow hip socket. She underwent a left total hip replacement using a specialized prosthesis known as the S-ROM system. Additionally, bone grafting was performed to reconstruct and reinforce the socket walls for better implant support.This is one of the youngest girls I have done a hip replacement in. Did her right hip when she was 13 and the left a year later. She is a blood cancer survivor. She had collapse of both her hips related to chemotherapy (which actually saved her life). She had ceramic bearings. Presently totally symptom free pursuing her higher studies.