Patient Info

Understand your hip health. Explore comprehensive information on conditions, procedures, and what to expect on your path to recovery.

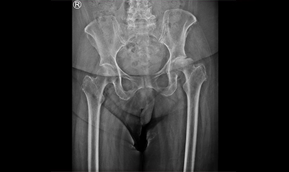
Patient Background

This 82-year-old lady, mother of a doctor, developed sudden and rapidly worsening hip pain over the course of a month. Initial concerns pointed to a possible infection due to the rapid collapse of the joint. Further evaluation confirmed a rare condition — rapidly progressive osteoarthritis, which is effectively treated with a single-stage hip replacement.We used a dual mobility here to reduce the risk of dislocation. She was in hospital for 3 days and is delighted with the results as she is pain free and back to normal mobility

Patient Outcome

Following a successful single-stage hip replacement using a dual mobility implant, the patient is now completely pain-free and mobile. She has returned to her normal routine with great satisfaction.