Patient Info

Understand your hip health. Explore comprehensive information on conditions, procedures, and what to expect on your path to recovery.

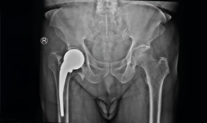
Patient Background

This 83 year old gentle man had a hip fracture 25 years ago. This became painful recently. He had an interesting (to the surgeons!) complication with a fracture of the stem in 3 places. This was revised to a total hip replacement. We used a longer stem to bypass the defects. He is mobile with a stick.

Patient Outcome

Despite his age and the complexity of the case, the revision surgery was a success. With restored mobility and reduced pain, he enjoys independence in his daily activities.